I didn’t have a heart attack. I can’t believe how often I have to tell my medical team that I didn’t have a heart attack. You also wouldn’t know that I didn’t have a heart attack based on the overwhelming number of visits I have made to the hospital during the last month.
While the title may seem like clickbait, it accurately describes my medical status. I am thrilled with not having a heart attack. Anyway, this is my story. I hope you like it.
Perhaps the moral of this story is that I want you to take care of yourself, including visiting the doctor.
The drawing above is from Modern Heart and Vascular and does not represent images of my heart.
Living in my RV
Living and traveling full-time mostly in our RV makes it hard to get frequent doctor visits, so I try to group them into a small one-month window at the beginning of winter. So far, it works for me, but each year I have to book my doctor’s appointments very early, and just like making campground reservations, it requires a lot of early planning. I have to keep after it to make sure the schedule works for both my doctors and me.
I have plenty of issues that my doctors and I need to monitor, and my low heart rate (sinus bradycardia) is just one of them, although until last month, I didn’t have a cardiologist (heart doctor).
I am not sharing this because I am unhappy with my medical care. I am thrilled with my medical care at the VA. The reason I have to keep telling the nurses and doctors in my medical team that I didn’t have a heart attack is based on my electrocardiogram tests.
About heart attacks
Graveyards are filled with people who die from heart attacks. I even heard that people with cardiovascular issues fill more than 50% of the graves. Everyone should take this seriously and include daily activities that elevate their heart rate. When you get older (like I someday will), it doesn’t take as much exercise to elevate your heart rate. I don’t exercise like I used to, but I try (with moderate success) to do something every day.
My electrocardiogram (EKG or ECG)
An electrocardiogram measures the electrical signals from the sinus node of the heart and provides doctors with information about your heart health. For at least the last forty years, my electrocardiograms have noted my slow heartbeat compared to most people. My resting heart rate is always less than 60 beats per minute.

At the top of my electrocardiogram, I see the words “sinus bradycardia,” which is the medical term for a slower-than-average heart rate. I “blame” or, actually, to me it is a point of pride that my heart rate is on the slow side. Luck, years of exercise, genetics, and growing up at a higher altitude (Colorado) resulted in my slower-than-average heart rate.
I wish my slower heart rate had also led to lower-than-average blood pressure. For at least thirty years, my blood pressure has been higher than the desired normal range.
A few years ago, an X-ray report mentioned an enlarged heart, and they weren’t talking about generosity. Yet, that X-ray interpretation seems to be a one-off.
I have cancer
With the exception of skin cancer on my shoulder at least ten years back, I have dodged the cancer word. I was surprised last month when one of the doctors used the cancer word straight up (as if it wasn’t a big deal). Previously, they also didn’t use the word carcinoma, and even though that is doctor talk, I would have known they were saying cancer.
Until last month, I would have said I didn’t have cancer. Same for a heart attack. Until a few years ago, no one mentioned a heart attack. But I will get back to the heart attack story later. Keeping with the title of this section, the subject is now about my cancer.
Some people (like me) know they have cancer. Other people say (I used to be in this club) they don’t have cancer, but they really mean that they don’t have cancer that they know about. The important part of having cancer is to keep after it so that it doesn’t expand and kill you.
Until my visit to the emergency room in January 2024, I had no indication that I had cancer. Here is a link to the story about my emergency room visit, where they first “discovered” that I may have cancer. You can’t leave, you have Pneumonia!
Until a month ago, they didn’t say the word cancer (at least not to me), but rather they said “mass”. During my pneumonia hospital stay, I got a CAT scan of both my head (which “proved” I didn’t have a stroke) and my chest, where they discovered an extra body part, which they described as a mass next to my adrenal gland. They never used the cancer word.
The doctors were worried that the mass was also producing extra adrenaline, but tests and more CAT scans have determined that the mass next to my adrenal gland was not growing and was not making extra adrenaline. I hope this doesn’t change next year.
This year, I went through more tests and CAT scans, and again, the hormones are good, and the mass remains the same size. But this year, unlike the previous years, the doctor used the word cancer. I told her I preferred the word mass.
If it (the mass) grows, I will be getting a lot of attention from the doctors, who will then start talking about removing it. I sure hope to stay out of that line. It probably won’t be a little hole and a quick recovery.
Cancer and heart problems are not the only problems I have. Each doctor from my eye doctors who are concerned about glaucoma, the dermatologist who keeps taking skin samples, and the ear doctors who want to give me hearing aids, has some concern. I take the concerns seriously, and each year it seems I am going to the doctor way more often.
The doctor’s schedule this year also included multiple visits and physical therapy, all caused by my broken elbow I had last July in London. If you missed the story, here is a link. My Crash landing in London
Don’t ever break your elbow. Half a year later, my physical therapy isn’t done. I still have daily pain and a functional but limited range of motion with reduced strength.
My non-heart attack
For at least the last five years, I have been telling the doctors over and overagain that I didn’t have a heart attack. The question arises from the previously mentioned electrocardiogram. It seems that the electrocardiogram mentions a possible “event” which doctors and nurses then ask about, my heart attack. My response is always the same. I didn’t have a heart attack. They always ask multiple questions, all based on symptoms of a heart attack. Did you have chest pain, shortness of breath, or radiating pain? They all seem amazed when I have always answered no.
I am not stating this based on denial, but I think if I had a heart attack, I would remember.
Arrhythmias
Now both my electrocardiograms and a blood pressure cuff mention the word arrhythmia, and this seems to trigger the questioning again. A slow heart rate is an arrhythmia, so I guess the word describes my condition. Arrhythmias occur when electrical impulses in the heart are abnormal. Coronary artery disease, previous heart attack, will often scar the heart, and this scarring is identified by the electrocardiogram, triggering the arrhythmia diagnosis.

I have known about my low heart rate for a long time, and I always make a point of telling the doctors about my low heart rate, especially if I am going to have anesthesia during a procedure. In the past, I scared the doctors with my low heart rate while under anesthesia. It seems like a low heart rate isn’t universally appreciated by doctors.
Switching Doctors
Last December, I switched doctors and, during my first visit, met my new medical team. Of course, during this visit, they recorded my vital signs, including my blood pressure and heart rate. Again, my blood pressure was higher than I wanted to see, but my sitting heart rate was 32 beats per minute. We started the test again, same result, 32 beats per minute. Then we did the old-fashioned fingers-on-the-wrist test: 32 beats per minute.
They also used a blood-oxygen meter, which showed a reading in the low 90% range. I wish this were higher.
32 beats per minute
I admit that 32 beats per minute seems really low, and I was pretty surprised to see such a low number while sitting upright. I knew that when I sleep, my heart rate occasionally slows to 40 beats per minute. I don’t typically monitor my heart rate while sleeping, but I know it is low.
While I was meeting my new medical team, each team member, as they walked into the exam room, scanned the monitor, and each one said 32 beats per minute, and I had to confirm the reading. My new doctor, rather than being impressed by such an “efficient” heart and cardiovascular system, ordered more tests. When I was in the hospital in 2024, all wired up, I got multiple visits from the nurses when my heart rate slowed while sleeping.
Monitoring my heart rate
For the next two weeks after my doctor appointment, I had a sensor the size of a bottle cap taped to my chest. This sensor recorded every heartbeat throughout each day for two weeks. Every time I had a heart event I considered abnormal, I was to tap the bottle cap and note why I tapped the sensor. At the end of the test, I didn’t have anything to report.
I also had three more electrocardiograms, and I had to answer the questions about my low heart rate again. I didn’t have a heart attack. Of course, they didn’t seem to believe me about the electrocardiogram notes, including the ones about the “historical heart attacks” they described.
Stress tests
After wearing the sensor for two weeks, I was referred for a treadmill stress test because the sensor readings were normal. The sensor didn’t detect anything other than my low heart rate, which it was concerned about. My doctor, however, wanted further investigation and ordered a stress test and an echocardiogram.
I was surprised when the stress test team didn’t want to test my maximum heart rate during the test. They only wanted an 80% test of my theoretical maximum heart rate. I had hoped to learn where the limit was. The test was done while wired to an electrocardiogram and while taking blood pressure measurements. The team stopped the test when I hit 151 beats per minute, which is my maximum theoretical heart rate.

After taking the stress test and recovering from the exercise, the test team wanted me to repeat the test. I said I was ready to go, but they wanted a new, more advanced test that included images of my heart while it was still beating a little faster. From these images, they could see how well my heart moved the blood and whether my arteries were clogged. Again, the electrocardiogram taken during the test reported a possible heart attack (sometime in the distant past).
The problem was that I was running out of time before our next adventure. It seemed to me that they weren’t concerned about my heart condition until it became a “crisis”. They were still concerned that I might soon have another heart attack (not believing that I didn’t have a previous heart attack).
I took every appointment they offered me as soon as they were available, and after my stress test, the electrocardiograms taken during the stress test on Thursday, only four days prior to our trip, they wanted another test. The stress test team didn’t want to wait for spring to take another stress test, worried that I might have another heart attack. I guess one heart attack leads to another heart attack.
Flying to Singapore
Our flight to Singapore was scheduled for Monday evening. At 6 am on Monday morning, I was back at the hospital waiting for another stress test. We were going to Singapore as the start of our springtime adventure. Like last year’s adventure to Europe, this time we were making a big trip, and I didn’t want to miss it.
So there I was (that is pilot talk for beginning a story) doing another stress test on Monday morning. The only real problem was that we had to leave our hotel before we could eat the free breakfast. They don’t let you eat before a stress test. The day before departing (just before the Super Bowl), we parked our RV in storage, preparing for our trip. This was all part of the plan (except for the stress test and missing breakfast) for getting ready for our trip to Singapore.
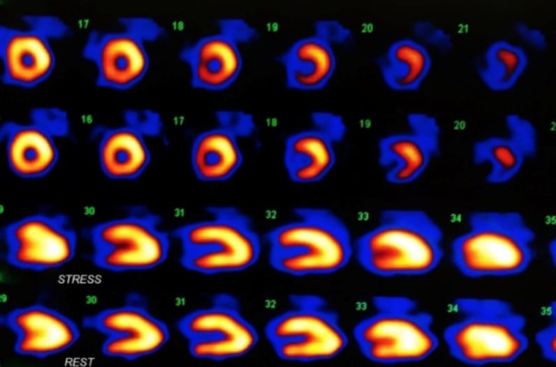
The stress test was just like the one four days before, with the exception that I had some nuclear isotopes injected into my blood during the test, so the pictures of my heart would be easier to read. The stress test lead nurse would call me at 3 pm after the cardiologist looked at the results to tell me how the test went.
The results of my stress tests and pictures of my heart
I was already at the airport when the nurse called. I was overjoyed when the nurse said the stress test, electrocardiogram, and images were all normal, and based on the pictures, they agreed. I didn’t have a heart attack.

The nurse told me they didn’t find any scars that would have been caused by a previous heart attack and that my ejection fraction (the way my heart pushes blood into the arteries) was excellent. They also didn’t find any arteries with restricted blood flow.
Due to my low heart rate, I expected to hear something about getting a pacemaker, but so far, they haven’t mentioned needing one.
When I get back from my trip, I will still do the electrocardiogram and have more doctor visits just to be sure I don’t have any heart issues.
Please subscribe and join us on our journey
We will add you to our email list and send you updates once a week. Here is a link. Subscribe
About our links
As you know, our blog income is zero – this allows us to be independent and just tell the truth. We do not get income or commissions. No, we don’t make paid endorsements. We don’t make recommendations, but instead, we will tell you what we like (or dislike). The links are only provided as a quick reference to help our readers.
Links
About Comments
We love seeing your comments, but they are not automatic. I get about 20 spam comments every day, so I don’t have automatic comments. I read and personally publish every comment to protect the blog and keep it on topic and real. So what this means for you is that you will not see your comment right after you hit submit. Sorry for the delay in publishing your comments. Please know that we love hearing from you.


Oh wow! Glad you are proactive in your care! Amazing how our bodies work! So unique for each of us! Bless you both…enjoy your Singapore trip!
I had a stress test a while ago now and they thought I had had a heart atack also. But they finally came back and said I have a condition known as something about JTAPI something, something that makes it look like I had a heart attack. I have a copy of the ekg to show if I go to the hospital. It is all Greek to me. Glad you are ok and hope you enjoy your trip.
I have always had a low heart rate…high 40’s / low 50 BPM. Recently I got up one morning and my Fitbit reported a higher than normal reading…now in the 70’s. I also started feeling a little “flutter” in my chest which got worse the more I worried about it or got increasingly stressed. A trip to the hospital revealed that I have developed AFib, or arterial fibrillation which in layman’s terms means that the electrical signals which cause the two sides of the heart to beat in a proper rhythm have become out of sync. The fear is that now the heart doesn’t exhaust all the blood on each beat, which could lead to blood clots and a stroke (no real fear of a heart attack). To combat this, I am now on blood thinners, supposedly for the rest of my life. Why am I telling this story here…because it is something quite common to older people (I’m in my early 70’s). We are supposed to be in our “Golden Years”…make each day count. If you have any issues with your heart or health in general…get in to see a doctor asap! I apologize…didn’t mean to detract from your story or issues!
Scott, I’m glad you’ve made it through the gauntlet of testing; certainly, the “mass” is something to continue to observe closely. All of us Happy Campers need to keep up our health when we’re out in the wilds, enjoying a campground that may be hours from an emergency medical facility that we probably haven’t even identified on a map yet.
As a boondocker running only on 12 volts replenished by a solar panel, who requires CPAP and has a history of hypertension and hypoxemia–that’s when blood oxygen levels drop below 88% at night–a lot of planning goes into my custom 12v power center, which I’m upgrading over the winter months. First, I have a dedicated circuit for the CPAP machine and its 12-volt adapter. I watch my altitude and overnight temperature fluctuations to stay attuned to the unit’s capabilities. I’ve got the Pulse Oximeter that checks my heart rate and blood oxygen percentage a few times overnight.
A buck converter attenuates a standard 12v circuit to the exact parameters of any “wall wart” device I use at home, in this case, an Omron blood pressure cuff. 12v 10A becomes 6v 500mA with the turn of a dial, and the 5.5 mm x 2.1 mm barrel output line fits an assortment of adapters, so it precisely powers whatever medical or personal device I use at home plugged into a 120-volt standard wall socket.
Some devices, like CPAP, can use a good deal of energy, so I have ammeters in each of the trailer’s battery circuits to measure and record voltage flows, and I can check any of them directly from my cell phone via Bluetooth.
That’s all for the camper side. I had a young technician do a flawed electrocardiogram ahead of a knee surgery, and I was surprised when the physician asked me who my cardiologist was and when, exactly, I HAD that heart attack. It was news to me, but it triggered thousands of dollars’ worth of tests to confirm that it was all a simple mistake.
I look forward to hearing more of your adventures soon and wish you and Tami all the best.
I’m glad all is well, and you’re feeling great. Enjoy your adventure.
I had bradycardia all my life. joked about my “athletic ” pulse. had stress tests….same as you. Then I had a time of dizziness and a really stressful day at work (pre-retirement). bam. pacemaker inserted. That was 9 years ago. I remember the first day of having the PM and feeling so great! Energy! Blood flow! No dizziness! Fingers are warm!
Almost due for a battery change… this next year, they say.
Take care and fear not!!!
Hope yall have an exciting and safe trip. No incidents please
So glad you are ok and hope Tami is weathering your medical adventures ok and that she is ok health-wise too. I’ve been seeing a cardiologist for the last 15 or so years, getting a stress test every year (like a flight physical every year).
I had a partial bundle block since I entered the Navy, which causes the occasional heart skip (which I can not feel and had no idea was taking place), so I had a heart ablation in 2020.
Now on a device which records my daily heart rate in addition to daily meds, losartan. Over the past 3 months resting average is 46 BPM. At 79 and still going strong above ground. Attached is one of our newest museum pieces, a recreation of the HC-1 hangar sign from when it transitioned from HU-1 to HC-1 in 1965, the Navy’s first west coast helo squadron at Imperial Beach.
My best to you guys, safe travels.
I’m glad you didn’t. Yikes. It’s always good to hear from you.
It’s reassuring to me to know that your heart is fine. Heart disease apparently runs in our family. I have never had any heart problems either. The elbow will get better. I am 7 years out from the fall next month.
Scott, glad to hear you’ve come through these tests unscathed; I have somewhat similar problems and maybe more, but I feel I need to add some comments which I hope are reassuring to you both:
I’m originally from the UK, where the National Health Service is non-profit, and now living over here where it is! And I frequently ask myself whether I would be alive if I were still living over there now!
We recently moved from Sedona, AZ to Fountain Hills, AZ to position ourselves better for old-age; and in the process I found a new primary care physician who happened to be extra thorough: he did so many tests and found things that were out of wack with my lab work; as a result I’m now seeing a cardiologist, a kidney specialist and a urologist. I’ve always felt youthful and active and reasonably healthy – we have an expedition vehicle for long-distance travel – and now I’m tied up with these specialists and my own doctor, with appointments booked right into the summer. And they’re all telling me to “try” this and that medication to correct these anomalies with my lab work.
I’m now 78, it’s impossible for my body to function like a youngster; should I be concerned about what the doctors are telling me? I think about Mick Jagger and Willie Nelson, who have lived life’s excesses and still appear to be doing “well”! My personal answer for myself is to keep going and worry less!
Take care…..Peter